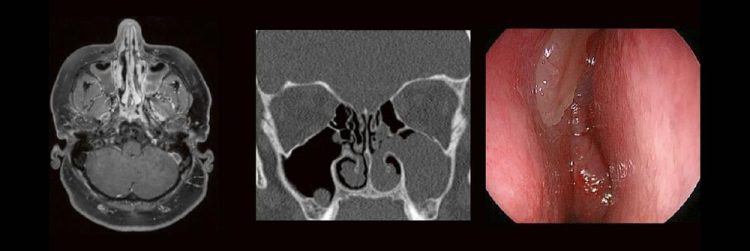
HNO & Radiologie: gemeinsam durch die NNH – ein Joint Venture (Webinar | Online)

Dr. med. André ReisbergDr. med Sebastian Plößl Die bildgebende HNO-Diagnostik macht es Anfängern nicht leicht. Die Anatomie ist komplex und weniger intuitiv als in anderen Körperregionen. Normvarianten erschweren insbesondere in den Nasennebenhöhlen den Lernprozess. Sobald pathophysiologische Zusammenhänge verstanden und wichtige klinische Aspekte verinnerlicht wurden, gelingt es einen praxistauglichen, belastbaren Befund zu erstellen. Wo muss ich…Continue reading HNO & Radiologie: gemeinsam durch die NNH – ein Joint Venture (Webinar | Online)

Dual-Energy CT der Wirbelsäule: Technik und klinische Praxis (Webinar | Online)

Professor Dr. med. Matthias PumbergerPD Dr. med. Torsten Diekhoff Die Dual-Energy-Computertomographie (DECT) hat für viele klinische Anwendungen bereits Einzug in die Praxis genommen. Für die Behandlung von Wirbelsäulenerkrankungen sind besonders die Darstellung von Knochenmarkveränderungen (z. B. bei osteoporotischen Frakturen) und der Bandscheibe (z. B. bei Bandscheibenvorfällen) interessant und werden intensiv beforscht. Hierdurch versprechen wir uns…Continue reading Dual-Energy CT der Wirbelsäule: Technik und klinische Praxis (Webinar | Online)

Outside the box-Vortrag: die Neuroradiologie der Moral (Webinar | Online)

Professor Dr. med. Michael Knauth Das Treffen moralischer Entscheidungen erfordert – wie jede andere Hirnleistung auch – das Zusammenwirken verschiedener Hirnareale. Der Vortrag nimmt auf eine interaktive Reise durch die Mehrzügeligkeit moralischer Entscheidungen (emotional vs. utilitaristisch) und gängiger moralischer Dilemmata (Trolley-Problem) und führt schließlich zu den mit dem Treffen dieser Entscheidungen befassten Hirnregionen und zu…Continue reading Outside the box-Vortrag: die Neuroradiologie der Moral (Webinar | Online)

MR-Spektroskopie: Hintergründe und Anwendung im klinischen Alltag – Teil 2 (Webinar | Online)

Dr. med. Urspeter Knecht Die MR-Spektroskopie – eine oft unterschätze Untersuchungsmethode – kann im Rahmen eines molekularen Fingerprints ein Game Changer sein in der neuroradiologischen Bildgebung. Eine Zusammenstellung von Hintergründen, Pitfalls, Aha-Erlebnissen, Nutzen und Risiken – Teil 2 Eventdatum: Mittwoch, 22. November 2023 17:00 – 18:00 Eventort: Online Firmenkontakt und Herausgeber der Eventbeschreibung: Canon Medical…Continue reading MR-Spektroskopie: Hintergründe und Anwendung im klinischen Alltag – Teil 2 (Webinar | Online)

Bildnachverarbeitung in der CT (Webinar | Online)

Alex Riemer Moderne CT-Scanner unterstützen die Anwenderinnen und Anwender bei der Durchführung der meisten CT-Untersuchungen. Hierzu zählt auch das automatische Erstellen von streng coronalen und sagittalen Multiplanaren Reformatierungen (MPR´s).  Es gibt jedoch CT-Untersuchungen, bei denen die MPR´s individuell an die Anatomie angepasst werden müssen. Doch gerade bei diesen Bildnachverarbeitungen gibt es oft Unsicherheiten darüber, worauf…Continue reading Bildnachverarbeitung in der CT (Webinar | Online)

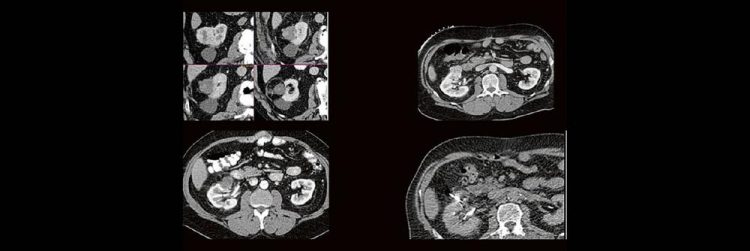
Thermoablation von Nierentumoren (Webinar | Online)

Dr. med. Sascha Alexander Pietruschka Die Anwendung von ablativen Verfahren hat sich in der klinischen Praxis etabliert. Nierentumoren bieten sich für den Einsatz von RFA und Mikrowelle an. Im Dietrich Bonhoeffer Klinikum Neubrandenburg blicken wir auf 15 Jahre Erfahrung mit mehr als 100 RFA/Mikrowellenablationen von Nierentumoren zurück. Im Vortrag werden die eigenen Erfahrungen und Ergebnisse…Continue reading Thermoablation von Nierentumoren (Webinar | Online)

Klinische Vorteile eines Software Upgrade mit künstlicher Intelligenz aus Sicht der MTR (Webinar | Online)

Jan Hendrik Falkenstein Künstliche Intelligenz spielt in der klinischen Anwendung eine immer größer werdende Rolle. Im radiologischen Sektor erfährt besonders die Magnetresonanztomographie aktuell einen regelrechten KI-Hype. Kürzere Untersuchungszeiten, eine höhere Bildqualität oder eine Kombination aus Zeit und Qualität sind theoretisch möglich, doch ist die KI in der Praxis mehr als eine Spielerei? Wie aufwendig ist…Continue reading Klinische Vorteile eines Software Upgrade mit künstlicher Intelligenz aus Sicht der MTR (Webinar | Online)

Fototermin: 73 junge Talente starten bei der Region ins Berufsleben (Pressetermin | Hannover)

Willkommen! Ausbildungsstart in zwölf Berufsfeldern – zwei davon inklusiv Neue Kolleg*innen an Bord: 73 junge Menschen beginnen im August und September ihr duales Studium oder ihre Berufsausbildung bei der Region Hannover. Neben den klassischen Verwaltungsberufen starten auch Azubis in handwerklichen und technischen Bereichen wie Fachinformatiker*innen und Straßenwärter*innen. Im Inklusionsbereich beginnen fünf junge Menschen als Fachpraktiker*innen…Continue reading Fototermin: 73 junge Talente starten bei der Region ins Berufsleben (Pressetermin | Hannover)

Jetzt MD-102 Microsoft Endpoint Administrator werden! (Schulung | München)

Im Seminar MD-102 Microsoft Endpoint Administrator lernen IT-Professionals eine Endpunkt-Bereitstellungsstrategie mit modernen Bereitstellungstechniken zu planen, auszuführen und Update-Strategien zu implementieren. Dieser Kurs bereitet auf das Examen MD-102 vor. Eventdatum: 21.08.23 – 25.08.23 Eventort: München Firmenkontakt und Herausgeber der Eventbeschreibung: CBT Training & Consulting GmbHElektrastraße 6a81925 MünchenTelefon: +49 (89) 4576918-12Telefax: +49 (89) 4576918-25http://www.cbt-training.de Weiterführende Links Zum Event…Continue reading Jetzt MD-102 Microsoft Endpoint Administrator werden! (Schulung | München)

Modernste Klimatechnik für die onkologische Kinderstation (Pressetermin | Karlsruhe)

Um den zunehmend heißen Sommern zu trotzen, erhält die hämatologische und onkologische Kinderstation „Regenbogen“ im Klinikum Karlsruhe ein hochwertiges Klimasystem. Ermöglicht wurde das Projekt durch den Förderverein FUoKK und eine hohe Privatspende. Jetzt beginnen die Bauarbeiten mit einem symbolischen Spatenstich. Auf der Station S24 „Regenbogen“ im Städtischen Klinikum Karlsruhe werden Kinder versorgt, die schon in…Continue reading Modernste Klimatechnik für die onkologische Kinderstation (Pressetermin | Karlsruhe)